Each of our practices have exclusive offers - Click the links to find out -Purley,Morden,Surbiton
White Fillings

Natural-Looking
White Fillings

Mercury-free composite fillings that blend seamlessly with your natural teeth. Restore your smile with durable, aesthetic dental restorations.

What are White Fillings?

Modern Mercury-Free Solution

White fillings, also known as composite fillings, are tooth-colored restorations that blend seamlessly with your natural teeth. Made from a durable composite resin material, they provide an aesthetically pleasing alternative to traditional silver amalgam fillings.

Unlike silver fillings, white composite fillings are mercury-free and biocompatible, making them a safer choice for your health. They bond directly to the tooth structure, providing excellent support and requiring less removal of healthy tooth material.

Modern composite materials are strong, durable, and can be completed in a single appointment, making them an ideal choice for restoring decayed or damaged teeth.

White Fillings Treatment Video

Discover how our mercury-free, natural-looking composite fillings restore teeth beautifully. Watch the treatment process and see how seamlessly white fillings blend with your smile.

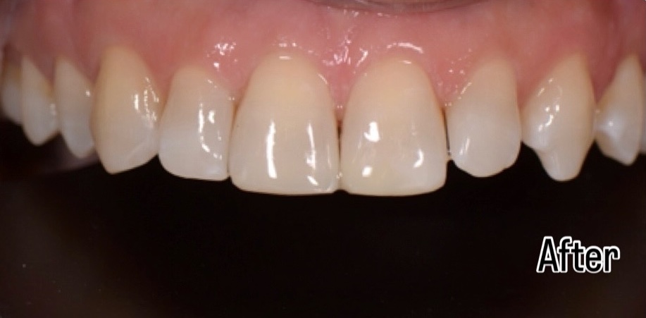
White Fillings Before & After Results

See the incredible transformations our patients have achieved with our natural-looking white composite fillings

After treatment
Before treatment
Natural composite restoration with composite bonding.
After treatment
Before treatment
Mercury-free white filling for a healthier, natural smile.
After treatment
Before treatment
Front tooth restoration with perfectly matched composite.

Benefits & Results of White Fillings

Experience the advantages of modern, mercury-free composite fillings

Natural Appearance

Tooth-colored composite material that blends seamlessly with your natural teeth.

Mercury-Free

Safe, biocompatible materials with no mercury or other harmful metals.

Same-Day Treatment

Complete treatment in a single visit with immediate results.

Durable & Long-Lasting

Modern composite materials provide excellent durability and longevity.

Patient Reviews

Real Patient White Fillings Experience

Watch our patient share their authentic experience with white composite fillings treatment. See firsthand how natural-looking results and mercury-free materials have made a positive difference in their dental health and confidence.

Rosie Procter

"This is such a lovely dental practice! Brilliant service from the lovely reception team on the front desk to the wonderful hygienist Cynthia who did a fantastic professional clean of my teeth this morning and offered lots of helpful and reassuring advice. I feel very lucky to be registered here :)"

Kan K

"I used to discover a new issue every time I visited a dentist, and I was never a fan of going. But everything changed when I started seeing Dr Catarina and hygienist Cynthia. By following their advice on how to brush and care for my teeth properly, I now have no issues for the first time in my life. I'm truly grateful to both of them for helping me keep my teeth healthy."

Louise Dulley

"Had a family visit with Amal and Alex, they were very friendly and helpful with the children. They came out happy and very confident after their check-ups. A very good experience for all the children."

What to Expect During Your Treatment

01

Examination & Assessment

Thorough examination to assess the extent of decay and determine the best treatment approach.

02

Local Anaesthesia

Gentle numbing of the area to ensure your complete comfort during treatment.

03

Decay Removal

Careful removal of decayed tooth material using modern, precise techniques.

04

Filling Placement

Application of tooth-colored composite material, shaped and polished to perfection.

Cost & Finance Options

From £95
Private White Filling
  • Tooth-colored composite material
  • Mercury-free restoration
  • Same-day treatment

Related Treatments & Services

Explore other dental treatments that complement your white fillings journey

Restorative Dentistry

Dental Crowns

Restore severely damaged teeth with our custom-made dental crowns for strength and natural appearance.

Cosmetic Dentistry

Dental Veneers

Transform your smile with thin porcelain veneers for a perfect, natural-looking result.

Cosmetic Dentistry

Teeth Whitening

Professional teeth whitening treatments to brighten your smile and boost your confidence.

Not Sure Which Treatment Is Right for You?

Our experienced dental team can help you choose the perfect treatment plan tailored to your needs and goals.

Frequently Asked Questions

Ready for Natural-Looking Fillings?

Book your consultation today and discover how white fillings can restore your teeth with beautiful, natural-looking results.