Each of our practices have exclusive offers - Click the links to find out -Purley,Morden,Surbiton
Cosmetic Dentistry

Mini
Smile Makeover

Fast, affordable smile enhancements for minor corrections and instant confidence boosts.

What is a Mini Smile Makeover?

Watch Mini Smile Makeover

See how our mini smile makeover treatments deliver fast, beautiful improvements for a brighter, more confident smile.

Quick & Affordable Smile Enhancement

A mini smile makeover is a fast, affordable way to enhance your smile using minimally invasive cosmetic treatments. It's ideal for fixing minor chips, small gaps, slight discoloration, uneven edges, and minor shape irregularities—all in just one or two visits.

Common treatments include composite bonding, professional whitening, gum contouring, and minor reshaping. Most procedures are completed in a single appointment, making them perfect for busy schedules.

If you want a quick confidence boost and a brighter, more even smile without a full makeover, a mini smile makeover is the perfect solution for instant results.

Mini Makeover Before & After Results

See the incredible transformations our patients have achieved with quick, affordable cosmetic treatments

After treatment
Before treatment
Straighter teeth and improved bite with clear aligners and whitening.
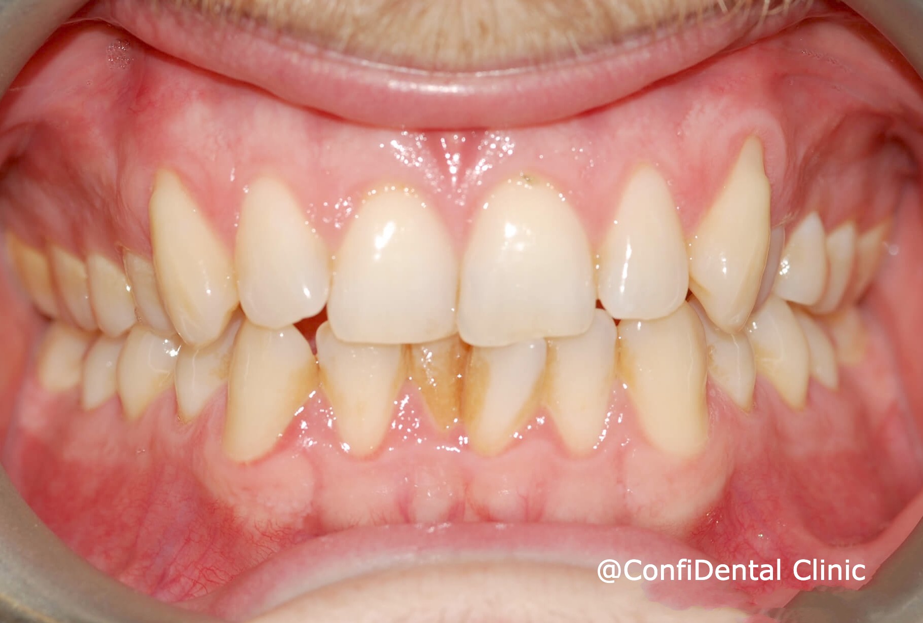
After treatment
Before treatment
Cosmetic teeth straightening in 5 months for a confident smile
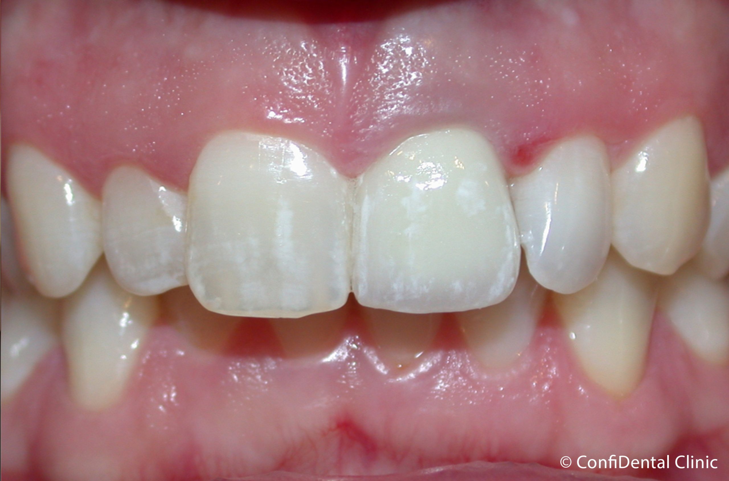
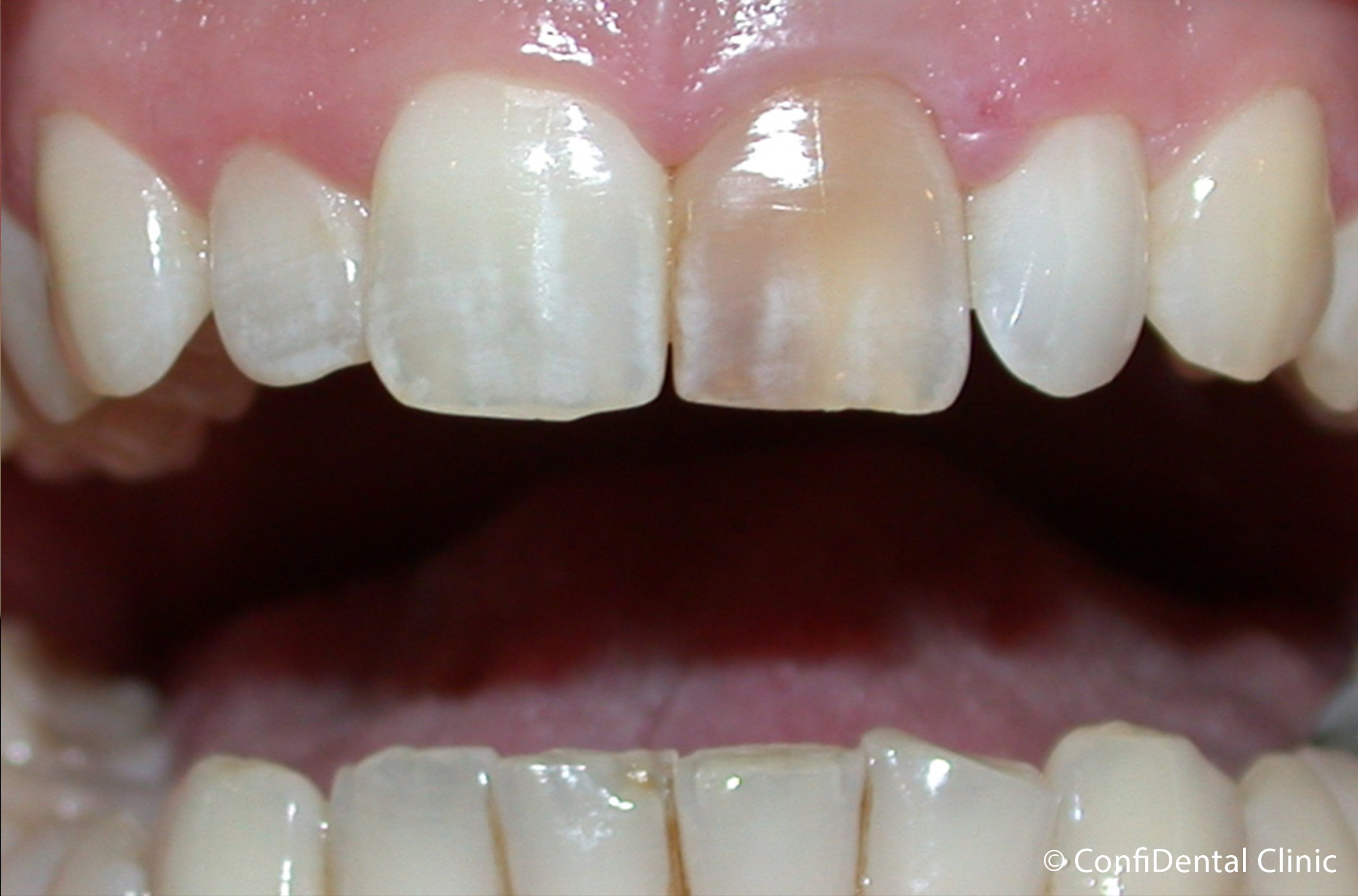
After treatment
Before treatment
Internal Teeth whitening to transform the smile.

Benefits & Results of Mini Smile Makeovers

Experience the life-changing benefits of a mini smile makeover

Quick Results

Noticeable improvement in just one or two visits.

Minimal Time

Perfect for busy schedules with quick appointments.

Affordable

Cost-effective way to enhance your smile.

Instant Confidence

Immediate boost to your self-esteem and appearance.

Natural Looking

Subtle enhancements that look completely natural.

Minimally Invasive

Conservative treatments that preserve tooth structure.

Patient Reviews

Patient's Mini Makeover Experience

Watch our patient describe their quick smile transformation and the immediate confidence boost from their mini makeover treatment.

Louise Dulley

Had a family visit with Amal and Alex, they were very friendly and helpful with the children. They came out happy and very confident after their check-ups. A very good experience for all the children.

Gary Evans

I cannot thank everyone enough for the support and professional assistance. I damage a tooth and was convinced I would loose it. They saved it and all well. Thank you again.

Riann Kruger

Great team, Anika Patel and Gina was so efficient and very gentle with my 12-year-old daughter. We were both at ease and fully trusted them both to deliver a pain-free and professional service! Thank you!

What to Expect During Your Mini Makeover

01

Quick Assessment

Brief consultation to identify enhancement opportunities.

02

Treatment Planning

Design your mini makeover for maximum impact.

03

Same-Day Treatment

Complete most treatments in a single visit.

04

Instant Results

See your improved smile immediately.

Cost & Finance Options

From £150
Mini Smile Makeover

What's Included:

  • Composite bonding and reshaping
  • Professional whitening options
  • Same-day treatments
  • Instant results
  • Expert cosmetic care

Finance Options:

  • 0% finance available
  • Flexible payment plans
  • NHS patients welcome
  • Private options available
  • Insurance accepted

Related Treatments & Services

Explore other dental treatments that complement your mini smile makeover journey

Cosmetic Dentistry

Smile Makeover

Comprehensive smile transformation with multiple cosmetic procedures for dramatic results.

Cosmetic Dentistry

Teeth Whitening

Professional teeth whitening treatments for a brighter, more confident smile.

Cosmetic Dentistry

Composite Bonding

Fix chips, gaps, and discoloration with natural-looking composite bonding.

Not Sure Which Treatment Is Right for You?

Our experienced dental team can help you choose the perfect treatment plan tailored to your needs and goals.

Frequently Asked Questions

Ready for a Quick Smile Transformation?

Book your consultation today and discover how a mini smile makeover can boost your confidence.