Each of our practices have exclusive offers - Click the links to find out -Purley,Morden,Surbiton
Cosmetic Dentistry

Dental
Veneers

Transform your smile completely with custom-made dental veneers. Our expert cosmetic dentists create beautiful, natural-looking veneers tailored to your perfect smile.

What are Dental Veneers?

Watch Dental Veneers Treatment

See the artistry and precision behind our dental veneers. This video showcases the natural, beautiful results you can expect from our cosmetic dentistry team.

Transform Your Smile with Dental Veneers

Dental veneers are ultra-thin shells of porcelain or composite resin that are bonded to the front of your teeth. They instantly improve the color, shape, and overall appearance of your smile, making them a popular choice for cosmetic enhancement.

Veneers are custom-made for each patient, ensuring a natural look and comfortable fit. They are ideal for correcting chips, gaps, discoloration, minor misalignment, and worn or uneven teeth.

With proper care, veneers can provide a long-lasting, beautiful smile transformation in just a few visits.

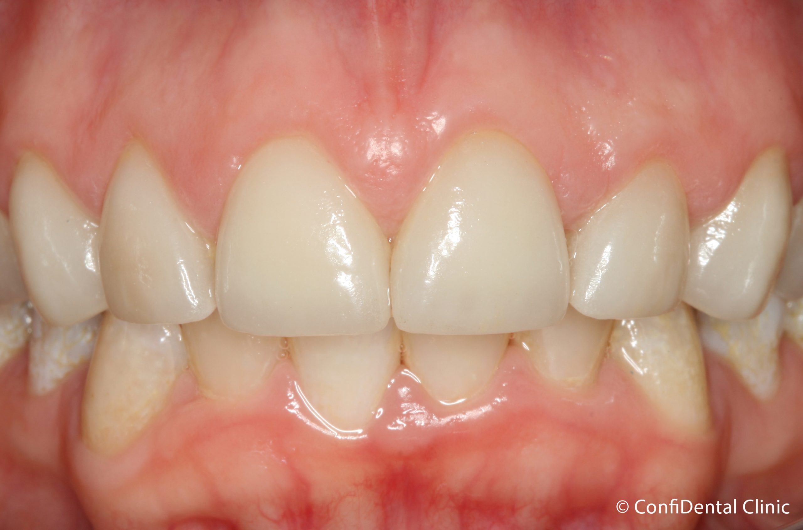
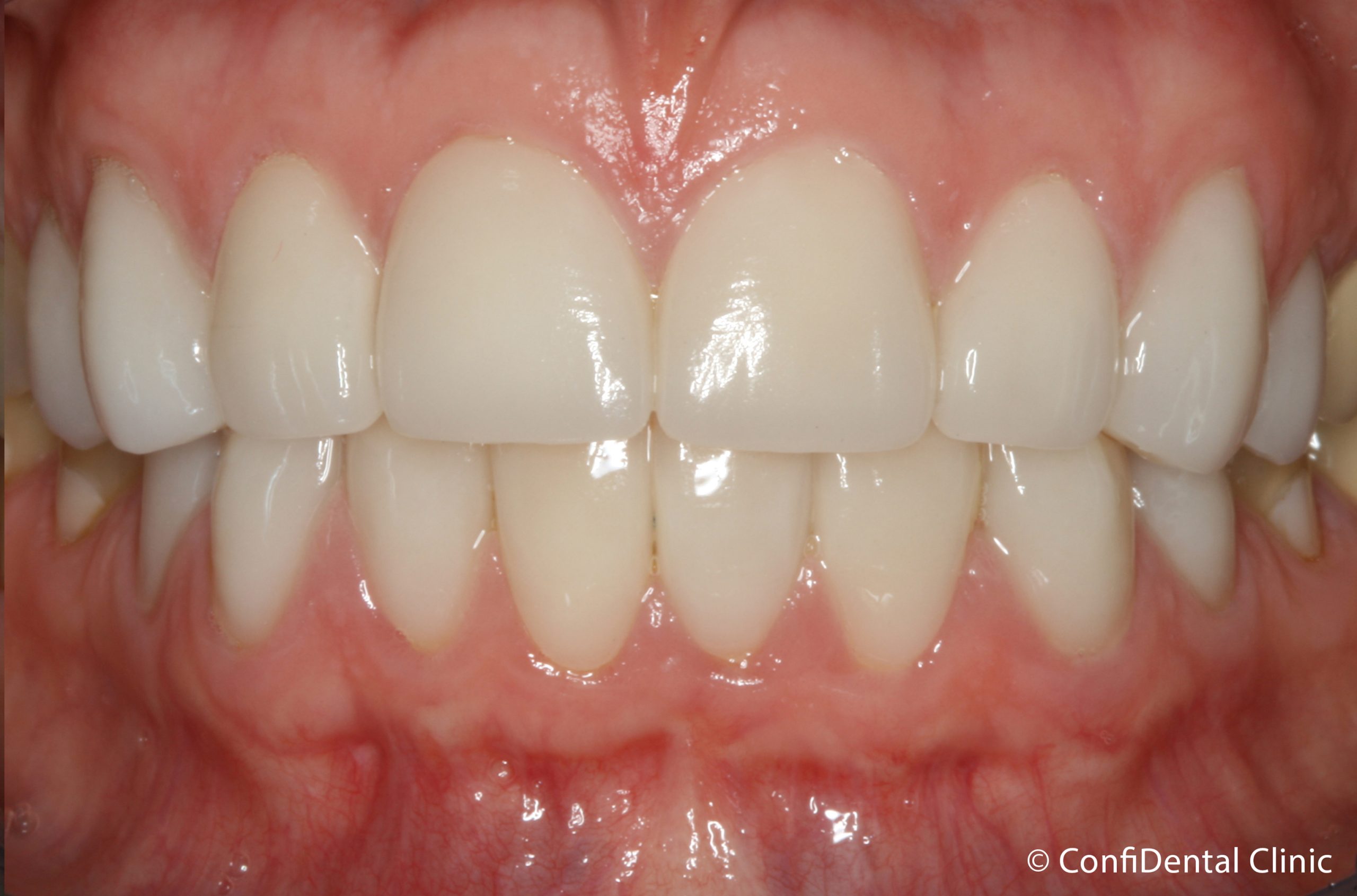
Dental Veneers Before & After Results

See the stunning transformations our patients have achieved with dental veneers

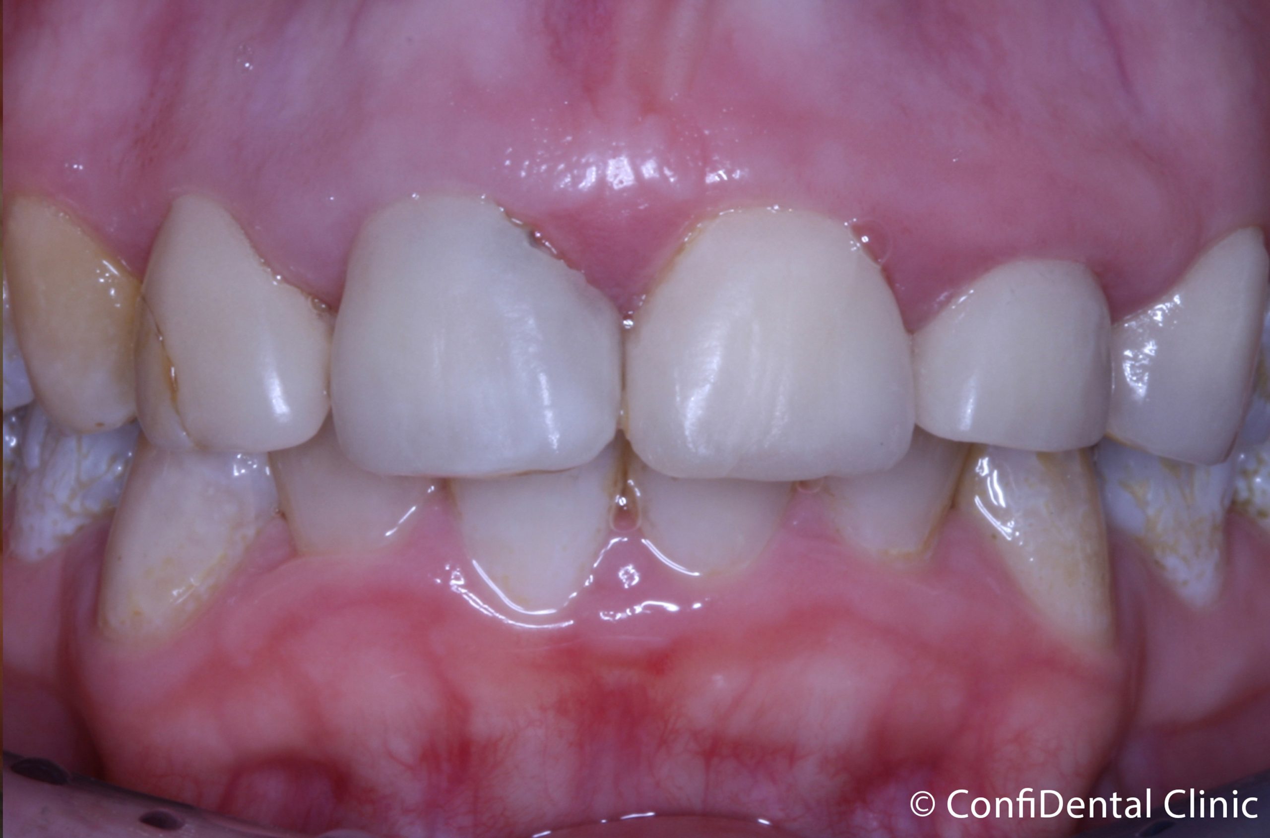
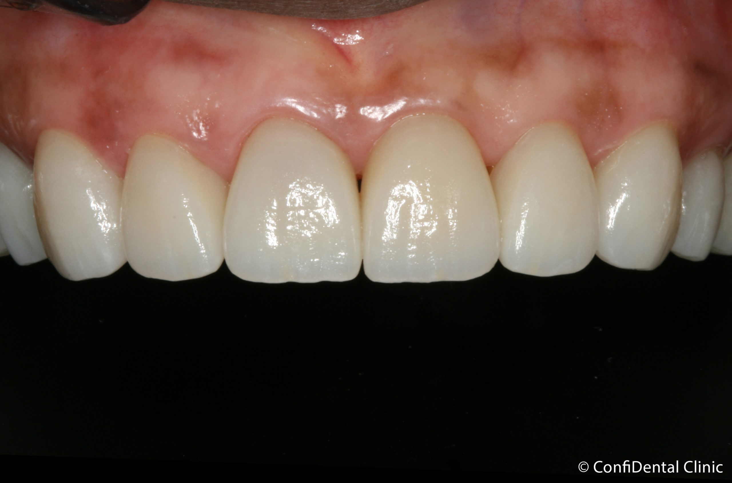
After treatment
Before treatment
Severely discolored teeth transformed with porcelain veneers.
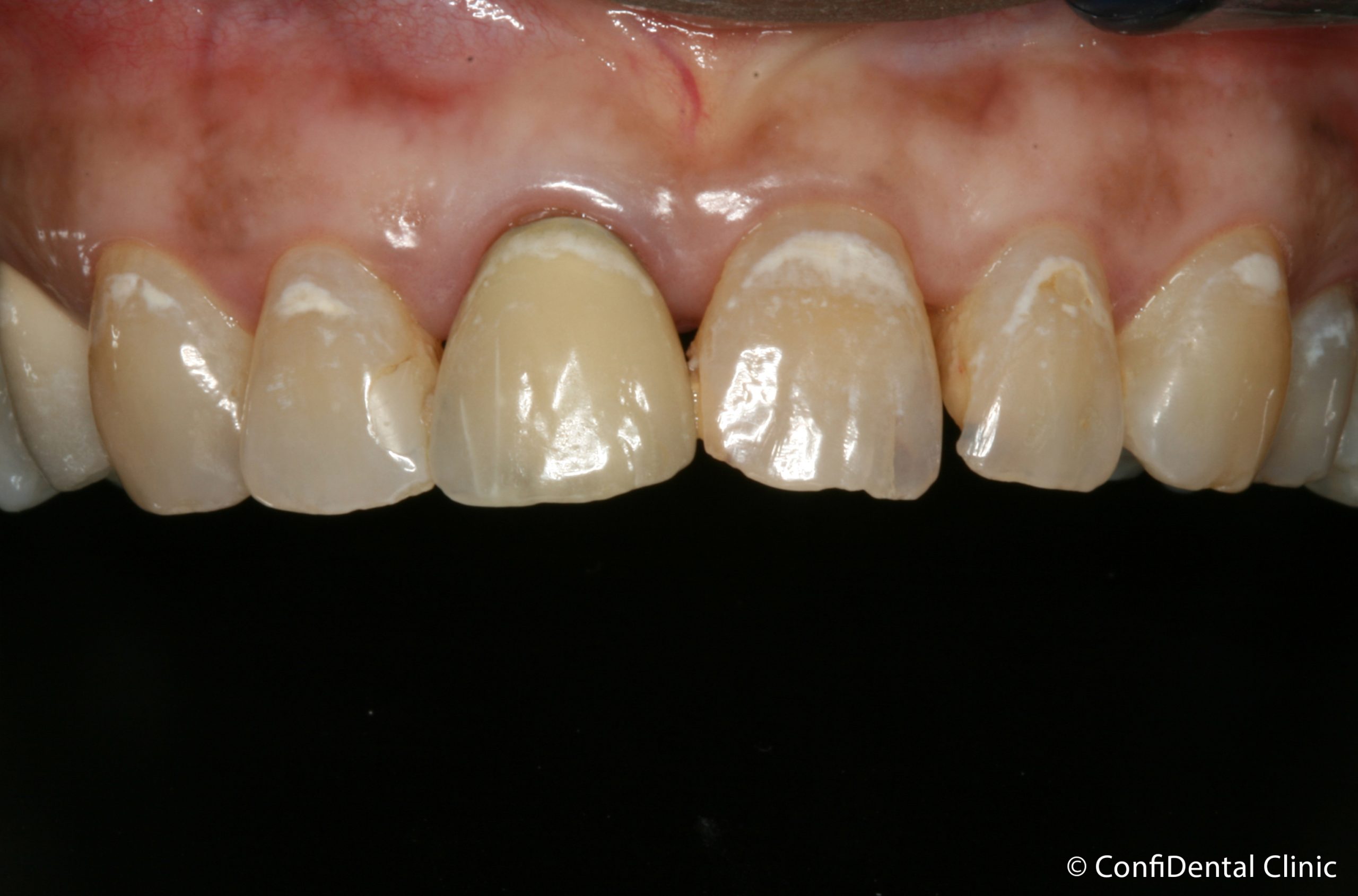
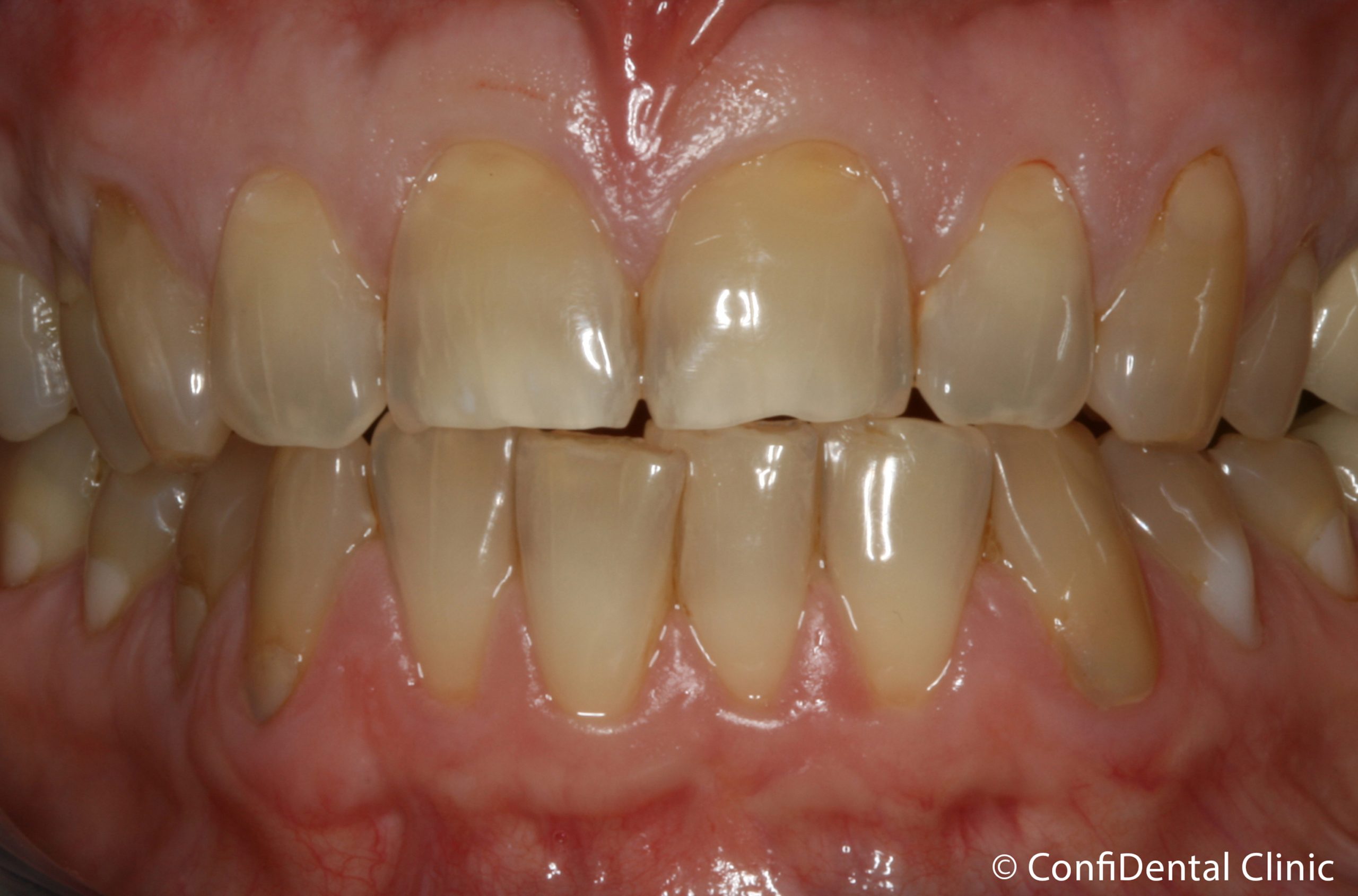
After treatment
Before treatment
Gaps and uneven edges corrected for a flawless smile.
After treatment
Before treatment
Worn and chipped teeth restored with custom veneers.

Benefits & Results of Professional Dental Veneers

Discover why dental veneers are the ultimate smile transformation solution

Perfect Smile

Achieve your ideal smile shape and color with custom-designed veneers.

Long-Lasting

Durable porcelain veneers that last 10-20 years with proper care.

Custom Made

Designed specifically for your unique smile and facial features.

Instant Results

Dramatic smile transformation in just a few visits to our clinic.

Natural Appearance

Veneers that perfectly mimic the translucency and color of natural teeth.

Minimally Invasive

Conservative treatment that preserves most of your natural tooth structure.

Patient Reviews

Patient's Dental Veneers Experience

Watch our patient describe their incredible journey with dental veneers and how it transformed their confidence and smile.

Louise Dulley

Had a family visit with Amal and Alex, they were very friendly and helpful with the children. They came out happy and very confident after their check-ups. A very good experience for all the children.

Gary Evans

I cannot thank everyone enough for the support and professional assistance. I damage a tooth and was convinced I would loose it. They saved it and all well. Thank you again.

Riann Kruger

Great team, Anika Patel and Gina was so efficient and very gentle with my 12-year-old daughter. We were both at ease and fully trusted them both to deliver a pain-free and professional service! Thank you!

What to Expect During Treatment

01

Consultation & Smile Design

personalised assessment and digital smile design to plan your ideal veneers.

02

Tooth Preparation

Minimal preparation of teeth to ensure a perfect fit and natural look.

03

Veneer Creation

Custom veneers are crafted for your unique smile in a dental lab.

04

Fitting & Bonding

Precise placement and bonding of veneers for a flawless, lasting result.

Cost & Finance Options

From £350
Porcelain Veneers (per tooth)
  • Premium, long-lasting material
  • Stain resistant & natural look
  • 0% finance available
From £195
Composite Veneers (per tooth)
  • Same-day treatment
  • Affordable & reversible
  • 0% finance available

Related Treatments & Services

Explore other dental treatments that complement your Dental Veneers journey

Cosmetic Dentistry

Teeth Whitening

Professional teeth whitening for a brighter, whiter smile that complements your veneers perfectly.

Cosmetic Dentistry

Smile Makeover

Complete smile transformation with multiple cosmetic treatments tailored to your unique needs.

Cosmetic Dentistry

Composite Bonding

Repair chips, gaps, and imperfections with tooth-colored resin for a natural appearance.

Not Sure Which Treatment Is Right for You?

Our experienced dental team can help you choose the perfect treatment plan tailored to your needs and goals.

Frequently Asked Questions

Ready to Transform Your Smile?

Book your free consultation today and discover how dental veneers can give you a beautiful, confident smile.