Each of our practices have exclusive offers - Click the links to find out -Purley,Morden,Surbiton
Fast Orthodontics

Straighter Teeth in
6-18 Weeks

Fast, removable, and affordable. The Inman Aligner straightens front teeth quickly using gentle spring technology. Perfect for minor corrections and relapse cases.

What is the Inman Aligner?

Watch Inman Aligner Treatment

See how the Inman Aligner's innovative spring-loaded technology can transform your smile in just weeks, not months.

Revolutionary Quick Orthodontic Solution

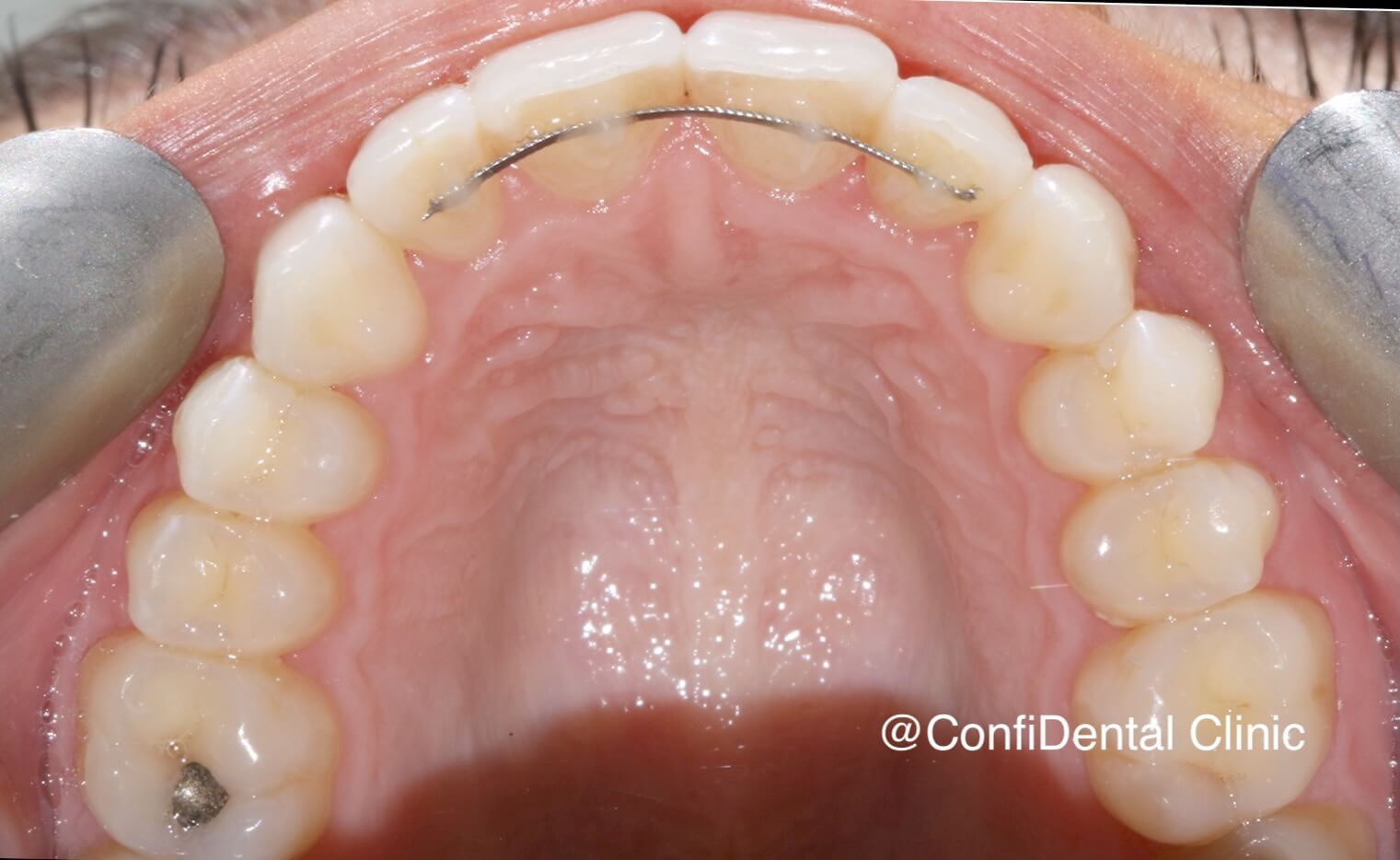
The Inman Aligner is a removable orthodontic appliance that uses a unique spring-loaded mechanism to straighten front teeth in just 6-18 weeks. It combines the power of a nickel titanium coil spring with a labial bow to apply gentle pressure from both the inside and outside of your teeth.

Perfect for adults seeking fast results without fixed braces, the Inman Aligner is ideal for correcting crowding, gaps, or relapse after previous orthodontic work. You can remove it for eating, drinking, and special occasions, making it convenient for your lifestyle.

With over 20 years of proven success and thousands of satisfied patients worldwide, the Inman Aligner offers an affordable, effective solution for achieving the straight smile you've always wanted—in a fraction of the time.

Inman Aligner Before & After Results

See the remarkable transformations achieved in just weeks with our interactive before & after comparisons

After treatment
Before treatment
Front teeth straightened in just 12 weeks.
After treatment
Before treatment
Gap closure achieved in 8 weeks with Inman Aligner.
After treatment
Before treatment
Relapse correction completed in just 10 weeks.

Benefits & Results of Inman Aligner Treatment

Experience rapid transformation with our proven Inman Aligner technology

Super Fast Results

Straighten your front teeth in just 6-18 weeks, much faster than traditional braces.

Removable Design

Take out for eating, drinking, and special occasions for maximum convenience.

Quick Treatment

Achieve results in weeks, not years, with this innovative spring-loaded system.

Cost Effective

More affordable than comprehensive orthodontic treatment or clear aligners.

Proven Technology

Established system with thousands of successful cases worldwide since 2001.

Comfortable Wear

Gentle pressure for comfortable tooth movement with minimal discomfort.

Patient Reviews

Watch Patient Stories

See real results and hear firsthand experiences from our Inman Aligner patients about their fast transformation journey

Sarah Mitchell

I couldn't believe how quickly the Inman Aligner worked! My front teeth were straightened in just 10 weeks. The removable design was so convenient for my busy lifestyle.

James Thompson

After years of my teeth shifting back, the Inman Aligner corrected my relapse in just 8 weeks. Much more affordable than I expected, and the results are fantastic!

Emma Roberts

The speed of treatment was incredible! I had a wedding coming up and needed quick results. The Inman Aligner delivered perfectly in just 12 weeks. Highly recommend!

What to Expect During Treatment

1

Initial Assessment

Comprehensive examination to evaluate suitability for Inman Aligner treatment and discuss your goals.

2

Precision Impressions

Take accurate impressions or digital scans for custom aligner fabrication in our specialist laboratory.

3

Custom Fitting

Fit your personalised Inman Aligner and provide detailed instructions on wear and care.

4

Progress Monitoring

Regular review appointments every 2-3 weeks to monitor tooth movement and make adjustments.

Cost & Finance Options

From £4,500
Lingual Braces
  • Custom brackets
  • All adjustments included
  • Retainers provided
0% Finance
Flexible Payment Plans
  • Spread the cost over time
  • No hidden fees
  • Simple application process

Related Treatments & Services

Explore other dental treatments that complement your Lingual Braces journey

Orthodontics

Invisalign

Clear removable aligners for comprehensive teeth straightening

Orthodontics

Cosmetic Fixed Braces

Tooth-colored braces that blend with your natural smile

Orthodontics

Damon Braces

Advanced self-ligating braces for faster treatment

Not Sure Which Treatment Is Right for You?

Our experienced dental team can help you choose the perfect treatment plan tailored to your needs and goals.

Frequently Asked Questions

Ready for Invisible Orthodontics?

Book your consultation today and discover how lingual braces can straighten your teeth discreetly and effectively.